Dental Implant Clinical Cases >> Three Implants Three Teeth
Replace 2 upper Bicuspid
and 1 Cuspid
Replace lower incisor,
cuspid and bicuspid
Replace three upper incisors

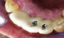
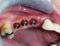
Replace 2 upper Bicuspid and 1 Cuspid (Three Implants Three Teeth)


TOP

Cost: $5400 plus Extractions and transitional dentures if required
Procedure Time*: 1-2 hours
Appointments*: 5
Treatment duration* : 7-8 weeks
 

Before
Dental Implant
Dental Implant
Implant
Dental Implant
Dental Implant
After
Dental Implant
Dental Implant
Mirror reflection
-After
Dental Implant


Replace lower incisor, cuspid and bicuspid (Three Implants Three Teeth)


TOP

Cost: $5400 plus Extractions and transitional dentures if required
Procedure Time*: 1-2 hours
Appointments*: 5
Treatment duration*: 7-8 weeks
 

Before
Dental Implant
Dental Implant
Implant
Dental Implant
Dental Implant
After
Dental Implant
Dental Implant
Mirror reflection
-After
Dental Implant


Replace three upper incisors (Three Implants Three Teeth)


TOP

Cost: $5400 plus Extractions and transitional dentures if required
Procedure Time*: 1-2 hours
Appointments*: 5
Treatment duration*: 7-8 weeks
 

Implant
Dental Implant
Dental Implant
Three Incisors
Dental Implant
Dental Implant
Mirror reflection
- Three Incisors
Dental Implant