Dental Implant Clinical Cases >> Three Implants Two Teeth
Replace Two Lower molars Replace Upper One Molar and One Bicuspids

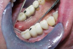
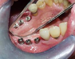
Replace Two Lower molars (Three Implants Two Teeth)


TOP

Cost: $5400 plus Extractions
Procedure Time*: 1-2 hours
Appointments*: 5
Treatment duration*: 7-8 weeks
 

Mirror reflection
-Before
Dental Implant
Dental Implant
Mirror reflection
-Implant
Dental Implant
Dental Implant
Mirror reflection
-After
Dental Implant


Replace Upper One Molar and One Bicuspids (Three Implants Two Teeth)


TOP

Cost: $5400 plus Extractions
Procedure Time*: 2-3 hours
Appointments*: 5
Treatment duration*: 7-8 weeks
 

Mirror reflection
-Before
Dental Implant
Dental Implant
Mirror reflection
-Implant
Dental Implant
Dental Implant
Mirror reflection
-After
Dental Implant